The AOSR uses cookies on its site to make your browsing experience better. By clicking OK, you agree to our terms of use. To find out more, visit our cookie policy.

Quiz 1

Test your knowledge, take our self-directed learning Quiz.

Case information
Chief complaint Presented with occipital headache and double vision for past five weeks.
Age 64 yrs
Sex Male
Modality CT/MRI
System Head and Neck
Case contributor
Dr. Hemant Patel

Dr. Varaprasad Vemuri

Dr. Shikha Khandelwal

Dr. Jismy Mathew

The answer is
Imaging findings

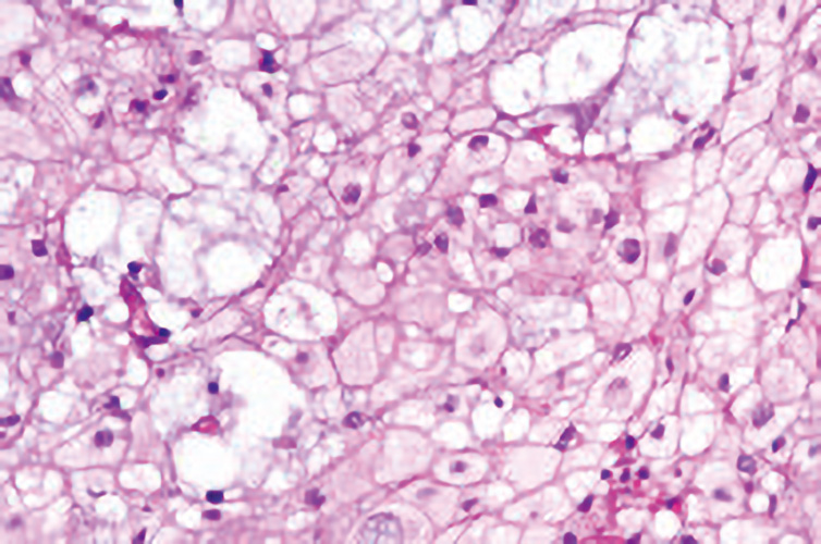
The histo-pathological findings confirmed the diagnosis of sellar chordoma.

Discussion

Sellar chordomas are extremely rare and are often misdiagnosed as pituitary adenoma. The lesion in above case is markedly hyperintense on T2WI (attributed to the high fluid content of vacuolated cellular components) and showed heterogeneous enhancement with osseous erosion, which favored possibility of malignant chondroid lesion. In contrast, pituitary macroadenoma show intermediate signals on T2WI. The other T2 hyperintense lesions include dermoid and epidermoid cysts, however they are non-enhancing. No heterogeneity was noted on T1WI to suggest proteinaceous component and hence craniopharyngioma and Rathke’s cleft cyst were also excluded.